|
Beispielfotos Parodontologie |
![]() |
![]() |
|
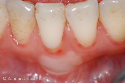
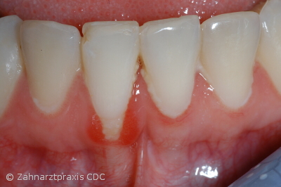
Zahnfleischschwundkorrektur Vorbehandlung | Zahnfleischschwundkorrektur (Rezessionsdeckung) | |
![]() |
![]() |
|
Zahnfleischschwundkorrektur Vorbehandlung | Zahnfleischschwundkorrektur (Rezessionsdeckung) | |
![]() |
![]() |
|
Zahnfleischschwundkorrektur Vorbehandlung | Zahnfleischschwundkorrektur (Rezessionsdeckung) | |